Operasi Kelopak Mata Bawah (Lower Blepharoplasty)
Area bawah mata yang lebih kencang, elastis dan halus
Solusi bagi bawah mata usia lanjut agar tampak lebih muda secara alami dengan menambah volume pada aegyo-sal


Informasi Operasi
Operasi Lower Blepharoplasty
Kandidat yang Dianjurkan
- 1. Jika Anda memiliki lemak menonjol di bawah mata Anda sehingga terlihat lelah dan galak
- 2. Jika bawah mata yang kendur membuat Anda tampak tua
- 3. Jika tidak ada elastisitas di bawah mata dan hanya terdapat kerutan
- 4. Jika Anda memiliki lingkaran hitam
Durasi Operasi
:
1 jam
Metode Anestesi
:
Anestesi lokal atau sedasi
Perawatan di Rumah Sakit
:
2~3 kali
Masa Pemulihan
:
Setelah 5~ 7 hari
Lower Blepharoplasty
Kunci untuk mendapatkan mata yang elastis dan tampak awet muda adalah menciptakan bagian bawah mata yang halus dan kencang secara alami tanpa terlihat berlebihan. Operasi kelopak mata bawah AB mendiagnosis secara tepat kondisi bawah mata yang berbeda pada setiap individu seperti tingkat kendurnya bagian bawah mata, elastisitas kulit dan otot, serta ketebalan kulit, membuang lemak dan kulit di bawah mata dalam jumlah yang sesuai sekaligus memperbaiki otot orbicularis sehingga meningkatkan elastisitas dan meratakan bagian bawah mata.

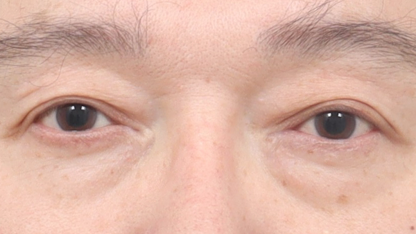
Sebelum Operasi

1 Minggu Setelah Operasi

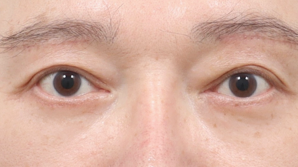
Sebelum Operasi

2 Minggu Setelah Operasi
Surgery method

01. Sayatan kecil
Menjaga saraf otot obikularis dengan sayatan minimal

02. Reposisi atau membuang lemak, penguatan diafragma

03. Otot obikularis ditarik dan dikoreksi
Dengan menarik otot obikularis yang kendur dan mengencangkannya secara vertikal, terdapat efek pengangkatan di bagian tengah wajah dan terciptanya aegyo-sal.

04. Sisa kulit dipotong dan dijahit
Melakukan eksisi dan penjahitan yang tepat berdasarkan kulit yang berlebih
Lower blepharoplasty harus dilakukan dengan hati-hati untuk menghindari hasil yang tidak natural.
Jika intensitas koreksi terlalu kuat, kelopak mata bawah dapat mengarah ke luar, menyebabkan ektropion, yang dapat mengakibatkan mata tampak tidak alami. Dengan membuang kulit dan lemak dalam jumlah yang tepat, AB menciptakan tampilan muda secara alami tanpa efek samping dan meminimalkan bekas luka, bengkak, dan memar sehingga Anda dapat segera kembali beraktivitas seperti sedia biasa.
1. Mengangkat kulit dan jaringan lemak dengan tepat
AB membuang kulit dan jaringan lemak berdasarkan kondisi bawah mata pasien untuk menciptakan tampilan bawah mata yang alami dan kencang. Lingkaran hitam yang tersisa secara alami menciptakan kesan yang lebih alami.

Sebelum Operasi

1 Minggu Setelah Operasi

Sebelum Operasi

1 Minggu Setelah Operasi
2. Bekas luka, bengkak dan memar yang minimal
Dengan sayatan minimal di bawah garis bulu mata bawah dan secara tepat membuang kulit dan jaringan lemak sesuai kondisi mata masing-masing individu, bekas luka, bengkak dan memar yang minimal yanghampir tidak terlihat sehingga Anda dapat segera kembali beraktivitas seperti biasa.

Sebelum Operasi

1 Minggu Setelah Operasi

Sebelum Operasi

1 Minggu Setelah Operasi
Namun, jika Anda memiliki mata seperti ini, kami merekomendasikan prosedur mini lower blepharoplasty daripada lower blepharoplasty biasa.
Kasus dimana hilangnya elastisitas di bawah mata yang tidak parah
Jika penyebab kantung mata yang kendur adalah kelebihan lemak di bawah mata.
Jika ada banyak lemak di bawah mata
Kasus dimana eksisi di bawah mata memberatkan
Berbeda dengan lower blepharoplasty biasa, mini lower blepharoplasty adalah operasi membuang lemak di bawah mata dengan membuat sayatan pada konjungtiva di dalam mata tanpa membuang kulit yang kendur. Jika Anda memiliki lemak di bawah mata yang berlebihan sehingga membuat Anda terlihat lebih tua, tergantung pada kondisi otot dan kulit mini blepharoplasty dapat memperbaiki penampilan bawah mata Anda.
Metode Operasi Mini Lower Blepharoplasty

01. Sebelum Operasi

02. Sayatan kecil dibuat di konjungtiva di dalam mata agar tidak ada bekas luka yang terlihat

03. Lemak berlebihan di mata dipindahkan ke area yang kosong

04. Jaringan yang kendur ditarik, dikencangkan, lalu dijahit

05. Setelah Operasi

Sebelum Operasi

1 Bulan Setelah Operasi

Sebelum Operasi

1 Minggu Setelah Operasi
Ciri Khas AB
Alasan memilih Lower Blepharoplasty AB
1. Terlihat berlebihan NO, terlihat alami OK
AB tidak melakukan tindakan lower blepharoplasty secara berlebihan sehingga menciptakan kesan awet muda yang natural

Before surgery

1 Bulan Setelah Operasi
2. Jahitan yang teliti dan tepat, bekas luka tidak terlihat bahkan saat tidak memakai riasan wajah
Garis sayatan bedah dijahit dengan cermat dan hati-hati untuk meminimalkan bekas luka dan bekas luka yang tidak rata.

Before surgery

1 Minggu Setelah Operasi
3. Teknologi AB yang dapat meminimalisir kulit kembali kendur
Dengan membuang kulit dan lemak yang kendur dalam jumlah yang tepat serta menarik dan memperbaiki otot orbicularis oculi yang kendur maka penyebab kulit kendur dan cekungan bawah mata akan teratasi dan meminimalkan kulit menjadi kendur kembali.
Sebelum Operasi

1 Minggu Setelah Operasi

1 Bulan Setelah Operasi

4. Koreksi mata yang terlihat lelah dan menua
Secara efektif memperbaiki tanda-tanda penuaan seperti kantung mata yang dalam, lingkaran hitam, dan kerutan di bawah mata yang disebabkan oleh kulit dan otot di bawah mata yang kehilangan elastisitasnya karena penuaan sehingga menghasilkan mata yang elastis dan tampak hidup.

Sebelum Operasi

1 Bulan Setelah Operasi

Sebelum Operasi

1 Bulan Setelah Operasi
5. Solusi perawatan bawah mata yang disesuaikan dengan setiap individu
Kami mendiagnosis dengan tepat kondisi mata dan bawah mata secara menyeluruh, menetapkan rencana bedah 1:1 kemudian melakukan bedah untuk mencapai hasil yang memuaskan tanpa efek samping.
Tingkat kekenduran kulit
Kulit, jaringan otot dan elastisitas kulit bawah mata
Ketebalan kulit
Jumlah lemak bawah mata
Bentuk mata
Sebelum & Sesudah Operasi Mata untuk Usia Lanjut
Operasi kelopak mata atas / Lateral canthoplasty / Lower canthoplasty / Mini lift / Pengencangan dahi / Pengecilan dahi / Cangkok lemak bulan ke-2
Sistem Keselamatan
Melalui penerapan di berbagai sistem,
pasien dapat menjalani operasi dengan lebih aman.

Ahli Anestesi Full-time
Seluruh proses pembedahan, termasuk prosedur sebelum, selama, dan pasca pembedahan, ditangani secara langsung dengan ahli anestesi penuh waktu.

Pemantauan Real-time Selama Anestesi
Seorang spesialis anestesiologi memantau pasien secara langsung selama operasi dan melakukan pemeriksaan dua dan tiga kali lipat melalui sistem pemantauan pusat.

Pemeriksaan Kesehatan yang Aman Sebelum Operasi
Untuk operasi yang lebih aman, kami telah menerapkan sistem pemeriksaan di rumah sakit. Hal ini memungkinkan kami melakukan pemeriksaan pra-operasi yang komprehensif.

Peralatan Keamanan Standar Tertinggi
Melalui penerapan di berbagai sistem manajemen keselamatan, kami memastikan pasien dapat menjalani operasi dengan aman dan tenang.















