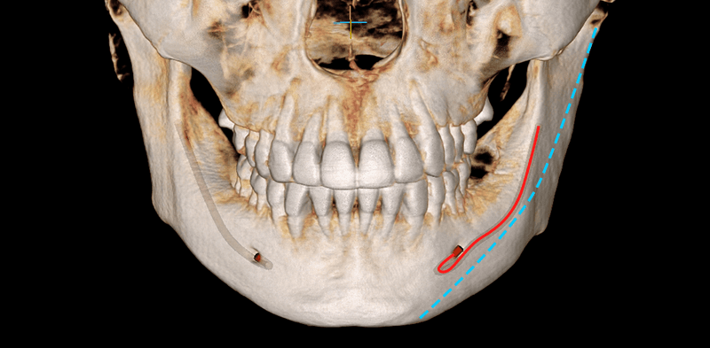
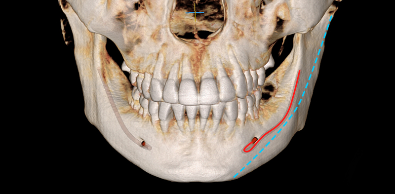
Dengan menggunakan X-ray dan CT scan, kami mempertimbangkan lokasi pasti dari garis saraf serta bentuk otot untuk mendiagnosis dan merencanakan metode pembedahan secara akurat. Lebar dan panjang ujung dagu kemudian dirancang untuk mencapai bentuk yang diinginkan pasien.
Pada akhirnya, ini semua adalah teknik bedah yang bertujuan untuk menciptakan kontur wajah yang estetis. Seorang dokter lulusan Seoul National University, yang berpengalaman dalam bidang kontur wajah, mendiagnosis proporsi wajah yang ideal. Dia kemudian melakukan operasi yang disesuaikan dengan setiap pasien, menggunakan teknik terampil dan sentuhan yang halus.

INFORMATION SURGERY
Durasi Operasi
1 ~ 1 jam 30 menit
Metode Anestesi
Anestesi umum
Perawatan di Rumah Sakit
1~2 kali
Masa Pemulihan
Setelah 7 hari
RECOMMEND SURGERY
1. Jika ujung dagu pendek
2. Jika ujung dagu tidak simetris
3. Jika ukuran dagu besar dan bagian bawahnya lebar
4. Jika ujung dagu panjang atau menonjol
Operasi Dagu
Metode bedah pada operasi dagu berbeda-beda tergantung pada bentuknya.
1. Dagu yang Lebar
Kunci proporsi wajah yang menentukan bentuk wajah cantik

Sebelum operasi

3 bulan setelah operasi

Sebelum operasi

3 bulan setelah operasi

STEP 1. Desain yang dipersonalisasi
Desain yang menyesuaikan besarnya pengecilan sesuai dengan lebar dagu

STEP 2. Pemotongan tulang
Tulang di ujung dagu dipotong dan dikeluarkan melalui sayatan di dalam mulut.

STEP 3. Relokasi tulang
Mengurangi lebar ujung dengan menata ulang sisa tulang di kedua sisi.

STEP 4. Garis rahang difiksasi dan dirapikan
Setelah tulang diperbaiki, tulang rahang bagian samping dipotong dengan mulus.
2. Dagu yang Panjang
Dengan menghilangkan tulang di bagian tengah melalui osteotomi horizontal, panjang dagu dikurangi, dan rahang persegi diperhalus, sehingga menghasilkan dagu yang lebih kecil.

Sebelum operasi

4 bulan setelah operasi

Sebelum operasi

4 bulan setelah operasi

STEP 1. Pemotongan tulang
Mengangkat tulang secara horizontal untuk mengurangi panjangnya

STEP 2. Tulang dipindahkan
Mengurangi panjang ujung dagu dengan menaikkannya dari bawah ke atas.

STEP 3. Garis rahang difiksasi dan dirapikan
Setelah tulang diperbaiki, tulang rahang bagian samping dipotong dengan mulus.
3. Dagu yang Pendek
Mempersempit dagu yang lebar dan menggerakkan tulang ke bawah untuk menambah panjangnya, serta mengoreksi dagu yang pendek untuk menciptakan garis wajah yang ramping dan jelas.

Sebelum operasi

1 bulan setelah operasi

Sebelum operasi

4 bulan setelah operasi

STEP 1. Desain yang dipersonalisasi
Merancang panjang dan leba tulang rahang yang akan diregangka dan dikurangi

STEP 2. Osteotomi dan relokasi tulang
Menambahkan panjang dengan memindahkan tulang yang dipotong ke bagian bawah dagu tanpa membuangnya.

STEP 3. Tulang difiksasi
Mengoreksi tulang di kedua sisi di atas tulang yang tersisa untuk mengurangi lebar.

STEP 4. Garis rahang dirapikan
Memotong tulang rahang bagian samping yang menonjol. *Selama proses pemulihan, tulang mengisi area yang kosong.
4. Ujung Dagu yang Pendek
Setelah memotong ujung dagu secara horizontal, Anda dapat melihat efek yang jelas tidak hanya dari samping tetapi juga dari sisi depan dengan memperbaikinya ke depan.

Sebelum operasi

7 bulan setelah operasi

Sebelum operasi

7 bulan setelah operasi

STEP 1. Osteotomi tulang
Memotong ujung dagu secara horizontal

STEP 2. Tulang dimajukan dan difiksasi
Tulang dagu difiksasi dengan menggerakkannya ke depan
Solusi AB
Jika ingin bentuk wajah lebih ramping dari sisi depan, disarankan untuk melakukan operasi dagu dan operasi rahang persegi secara bersamaan. Bentuk dagu yang indah dibuat menggunakan berbagai metode osteotomi tergantung pada bentuk dan preferensi dagu tiap individu.

Pengurangan Ujung Dagu Saja
Garis rahang yang menggumpal dan tidak rata

Pengurangan Ujung Dagu + Pengurangan Rahang Persegi Dilakukan Bersamaan
Garis rahang halus dan tampak ramping

Pengurangan Rahang Persegi Saja
Garis rahang yang kurang memiliki efek dari sisi depan

Pengurangan Rahang Persegi + Pengurangan Ujung Dagu Dilakukan Bersamaan
Garis rahang menjadi ramping dari depan dan samping
Kombinasi operasi ujung dagu dan rahang persegi menghasilkan garis rahang halus tanpa sudut sekunder. Wajah menjadi ramping, tanpa bentuk dagu samping yang tampak lebar.
Ciri-ciri khusus AB
Alasan Operasi Dagu di AB
1. Desain menyeluruh melalui identifikasi lokasi garis saraf.
Setelah mengidentifikasi jalur garis saraf melalui 3D-CT, rentang osteotomi direncanakan dan dilakukan pemotongan dengan menghindari garis saraf.

2. Menangani garis rahang samping yang menonjol setelah pemotongan.
Operasi pengecilan rahang persegi dilakukan sekaligus untuk menyambungkan rahang dengan mulus tanpa fenomena berundak.

3. Desain yang dirancang secara personal dengan mempertimbangkan seluruh wajah.
Karena menyesuaikan panjang, posisi, dan bentuk ujung dagu dengan mempertimbangkan keseimbangan wajah, dilakukan operasi yang disesuaikan dengan bentuk rahang tiap individu.
Tampak Depan

Sebelum operasi
8 bulan setelah operasi
45°

Sebelum operasi
8 bulan setelah operasi
Tampak Samping

Sebelum operasi
8 bulan setelah operasi
4. Dengan solusi kompleks, efek yang ramping bahkan dari sisi depan.
Karena menyesuaikan panjang, posisi, dan bentuk ujung dagu dengan mempertimbangkan keseimbangan wajah, dilakukan operasi yang disesuaikan dengan bentuk rahang tiap individu.

Sebelum operasi

6 bulan setelah operasi

Sebelum operasi

5 bulan setelah operasi
5. Keahlian tim medis AB.
Karena menyesuaikan panjang, posisi, dan bentuk ujung dagu dengan mempertimbangkan keseimbangan wajah, dilakukan operasi yang disesuaikan dengan bentuk rahang tiap individu.

Perawatan Pasca Operasi Dagu
Menyediakan solusi perawatan setelah operasi tanpa melewatkan waktu optimal pemulihan.
Smart Lux

Penanganan memar dan bengkak
Peralatan perawatan LED medis membantu memulihkan luka setelah operasi dan mengurangi pembengkakan dan nyeri.
LDM

Regenerasi kulit dan peningkatan imunitas
Menenangkan dan meregenerasi kulit dengan mengaktifkan sel-sel kulit menggunakan gelombang ultrasonik.
Perawatan dengan High Frequency

Sirkulasi limfa dan manajemen pemulihan
Mengirimkan energi frekuensi tinggi jauh ke dalam kulit untuk meningkatkan sirkulasi darah dan getah bening (limfa) serta membantu pemulihan yang cepat.
Perlengkapan perawatan di rumah

Perawatan sistematis di rumah
AB menyediakan perlengkapan perawatan di rumah yang dirancang untuk pemulihan cepat, memungkinkan perawatan sistematis di rumah.
Loading...
Melalui penerapan berbagai sistem, pasien dapat menjalani operasi dengan lebih aman.

Seluruh proses pembedahan, termasuk prosedur sebelum, selama, dan pasca pembedahan, ditangani secara langsung dengan ahli anestesi penuh waktu.

Seorang spesialis anestesiologi memantau pasien secara langsung selama operasi dan melakukan pemeriksaan melalui sistem pemantauan pusat.

Untuk operasi yang lebih aman, kami telah menerapkan sistem pemeriksaan di rumah sakit dan pemeriksaan pra-operasi yang komprehensif.

Melalui penerapan berbagai sistem manajemen keselamatan, kami memastikan pasien dapat menjalani operasi dengan aman dan tenang.
*Tutup pada Hari Minggu dan pada libur nasional