Menjadi lebih muda dengan alami tanpa merubah wajah, solusi operasi mata untuk usia lanjut


Surgery Duration
:
Approximately 1 hour
Anesthesia Method
:
Topical anesthesia or Light sleep (Twilight) anesthesia
In-hospital Treatment
:
2~3 times
Recovery Period
:
After 5~7 days
Upper Blepharoplasty
Kunci untuk mendapatkan mata yang terlihat awet muda adalah membuatnya terlihat cantik secara alami. Upper blepharoplasty AB dilakukan dengan meminimalkan bekas luka melalui pemotongan jaringan yang sesuai dan menyesuaikan kekuatan fiksasi otot mata. Sempurnakan mata Anda dengan koreksi kelopak mata yang kendur.
Surgery method

01. Sebelum Operasi

02. Desain Sebelum Operasi

03. Garis lipatan kelopak disayat mengikuti kerutan mata

04. Kulit kendur kelopak mata, lemak dan otot dibuang

05. Removal of sagging muscles followed by firm fixation of the fascia

06. Suturing

07. Post-surgery

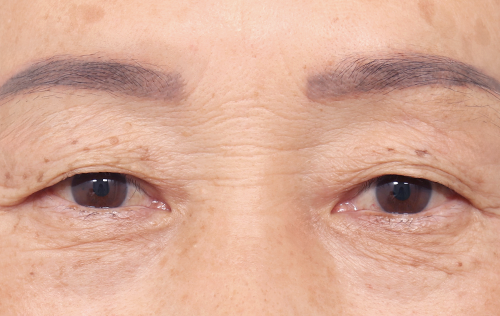
Sebelum Operasi

1 minggu Setelah Operasi

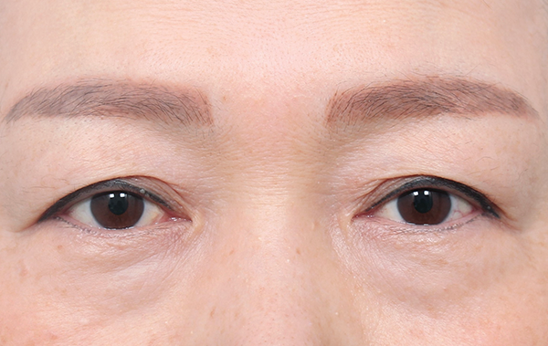
Sebelum Operasi

1 bulan Setelah Operasi
Upper blepharoplasty harus dilakukan dengan hati-hati agar tidak meninggalkan kesan yang kuat
Keterampilan dan pengetahuan ahli bedah sangat penting karena jika operasi dilakukan secara berlebihan, mata usia lanjut dapat terlihat tidak alami dan terkesan galak. Operasi AB bertujuan agar mata usia lanjut terlihat lebih alami dan cantik dengan memanfaatkan sifat alami kelopak mata, kontrol intensitas koreksi otot mata, mengangkat jaringan, dan teknologi yang tidak meninggalkan bekas luka.
1. Upper blepharoplasty yang memanfaatkan sifat alami kelopak mata
Sifat alami kelopak mata
Sifat alami kelopak mata: Saat membuka mata, otot kelopak mata akan terlipat di sepanjang kulit membentuk garis alami

Metode upper blepharoplasty AB
AB menggunakan metode upper blepharoplasty yang unik, menciptakan garis dengan menempelkan septum ke lapisan kulit secara dangkal seperti lipatan mata alami

2. Jumlah kulit, lemak dan otot dibuang seminimal mungkin
Mata akan terlihat tidak natural dan tajam jika jumlah kulit, lemak, dan otot yang dibuang terlalu banyak. AB membuang kulit, lemak, dan otot sesuai dengan kondisi mata untuk menghasilkan mata yang terlihat cantik dan alami

Jumlah kulit, lemak dan otot dibuang seminimal mungkin

Garis mata yang cantik dan koreksi otot mata
3. Bekas luka yang minim
Upper blepharoplasty AB memperbaiki masalah estetika mata yang disebabkan oleh kelopak mata yang turun dan masalah fungsional mata yang menyertainya.

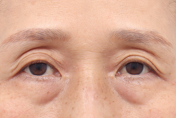
Sebelum Operasi

1 Bulan Setelah Operasi

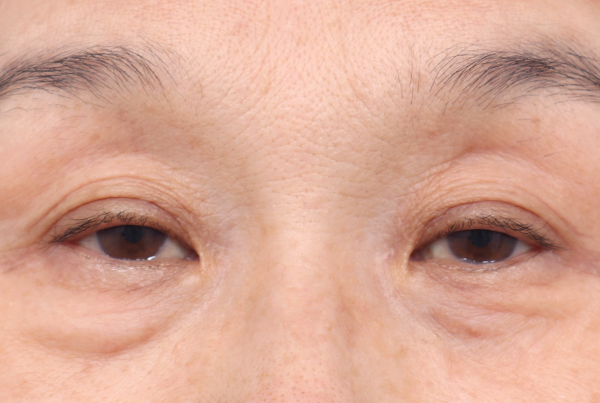
1 Bulan Setelah Operasi

Sebelum Operasi

1 Bulan Setelah Operasi

1 Bulan Setelah Operasi
Namun solusi untuk mata usia lanjut tidak selalu dengan upper blepharoplasty
Kondisi yang tidak cocok dengan upper blepharoplasty
Mata dengan alis yang sangat kendur dan jarak antara mata dan alis berdekatan
Mata ptosis dan kemampuan membuka mata yang lemah
Jika hanya dilakukan tindakan upper blepharoplasty
Mata dan alis mungkin menjadi lebih berdekatan, menciptakan tampilan yang aneh dan terkesan galak
Kelopak mata Anda mungkin menutupi pupil mata, membuat Anda terlihat lebih mengantuk.
Solusi kompleks mata usia lanjut
Mengatasi masalah mata kendur pada usia lanjut dengan menggabungkan operasi pengencangan alis dan dahi secara tepat
Upper blepharoplasty dan lifting alis dilakukan bersamaan

Sebelum Operasi

3 Bulan Setelah Operasi
Upper blepharoplasty dan lifting dahi dilakukan bersamaan

Sebelum Operasi

1 Bulan Setelah Operasi
Ciri-ciri khusus AB
Alasan Operasi Upper Blepharoplasty di AB
1. Garis mata natural yang bertahan lama
Dengan menyesuaikan kekuatan fiksasi otot buka mata secara tepat dan memperbaiki garis dengan kuat, memberikan hasil tahan lama yang tidak mengendur tanpa meninggalkan bekas luka

Sebelum Operasi
Mata yang memerlukan operasi upper blepharoplasty karena seluruh kelopak mata kendur

1 Bulan Setelah Operasi
Garis alami yang menempel kuat, tidak kendur bahkan setelah 1 bulan

6 Bulan Setelah Operasi
Dengan kontrol fiksasi otot mata yang tepat, garis yang terbebas dari bekas luka bahkan setelah 6 bulan
2. Simultaneous improvement of aesthetic and functional issues of the eyes through upper blepharoplasty.
AB upper blepharoplasty simultaneously addresses both the aesthetic issues caused by sagging eyelids and the accompanying functional problems of the eyes.

Eyes distorted into a triangular shape due to sagging at the inner and outer corners.
Before surgery

Improvement of skin laxity to restore a normal eye shape.
2 month after surgery

Eyes with weak opening strength, causing more than half of the pupil to be covered.
Before surgery

Strengthening the ability to open the eyes for a clearer eye contour and improvement in field of vision obstruction.
1 week after surgery
3. Penelitian dan publikasi artikel ilmiah yang berkelanjutan
Untuk meningkatkan kepuasan dan efektivitas operasi, kami meneliti dan mempresentasikan teknik bedah plastik baru, serta melakukan kegiatan akademis dan penelitian berkelanjutan untuk mengembangkan teknologi AB yang modern.




4. Sistem analisis detail operasi mata paruh baya
Sebelum operasi, AB secara tepat mendiagnosis dan menganalisis kondisi mata pasien dan hanya merencanakan operasi yang diperlukan tanpa melakukan tindakan yang berlebihan.
Bentuk mata secara keseluruhan, ukuran dan bentuk mata
Panjang mata vertikal . horizontal
Posisi pupil
Kondisi kelopak mata
Tingkat kekenduran kulit dan otot mata
Ketebalan kulit
Jumlah lemak kelopak mata dan lemak orbital
Kekuatan otot buka mata






Operasi kelopak mata atas / Lateral canthoplasty / Lower canthoplasty / Mini lift / Pengencangan dahi / Pengecilan dahi / Cangkok lemak bulan ke-2
Melalui penerapan di berbagai sistem,
pasien dapat menjalani operasi dengan lebih aman.

Seluruh proses pembedahan, termasuk prosedur sebelum, selama, dan pasca pembedahan, ditangani secara langsung dengan ahli anestesi penuh waktu.

Seorang spesialis anestesiologi memantau pasien secara langsung selama operasi dan melakukan pemeriksaan dua dan tiga kali lipat melalui sistem pemantauan pusat.

Untuk operasi yang lebih aman, kami telah menerapkan sistem pemeriksaan di rumah sakit. Hal ini memungkinkan kami melakukan pemeriksaan pra-operasi yang komprehensif.

Melalui penerapan di berbagai sistem manajemen keselamatan, kami memastikan pasien dapat menjalani operasi dengan aman dan tenang.
*Tutup pada Hari Minggu dan pada libur nasional